Introduction of Department
放射線科は画像診断や放射線治療などを主軸に業務を行っている診療科ですが、業務内容が幅広く病院により行っている診療内容が大きく異なるのが現状です。当院での放射線科業務は画像診断に限られており、残念ながら核医学的検査機器(シンチグラム・PET等)や放射線治療機器(リニアック・ガンマナイフ等)はありません。開業医の先生方および院内各科の医師からの依頼で各種検査、低侵襲治療を行い間接的に患者さんのお役に立っている科です。当放射線科は画像診断と低侵襲治療(IR)を通じて病診連携の要になれる診療科と自負いたしております。
MR : オランダ Philips社製 Gyroscan Intera-Achieva 1.5T Master R1.5
CT : アメリカ GE社製 Lightspeed VCT (64列MDCT)
MR・CT等の高機能の画像診断機器は、撮影法の工夫により大きく画像が異なります。当院ではこれらの検査・撮影の監修を放射線科医が行い、撮影法だけでなく人体解剖・疾患についてトレーニングされた診療放射線技師が実際の撮影を行っています。また、撮影時には患者急変に対するトレーニングを受けた看護師が常駐して検査を行っています。
検査の経過により造影剤を用いた検査を行うこともあります。CTでは、比較的安全とされている低浸透圧性非イオン性ヨード性造影剤を使用し、中でも販売歴が長く安全性が認知されているイオパミロン(日本シェーリング社)、オムニパーク(第一三共株式会社)、イオメロン(エーザイ株式会社)を使用しています。MRでは、同様の理由で マグネビスト(日本シェーリング社)、オムニスキャン(第一三共株式会社)を使用しています。
造影剤の使用に際しては注意を払っていますが、発疹などの軽度のアレルギー反応や悪心嘔吐など軽度の副反応は週に数件、循環器医・麻酔科医による救急医療処置が必要となる重度の造影剤ショックは年に1人程度の頻度で発生しています。
マイクロコイルによる指尖部(爪床部)Glomus腫瘍。このような小病変(大きさ約1mm)はこれまで画像で捕らえることは困難でした。

これまで狭心症などの原因となる冠動脈狭窄は、カテーテル検査で診断がなされてきました。64列MDCTでは、冠動脈の描出が安定して可能です。



また、せっかく撮影された画像も、画像に対する知識、病気に対する知識が十分でなければそこに隠れている病気を見落とすことがあります。この画像から情報を引き出す作業を読影(roentogen interpretation)といいます。当院では広島大学病院の放射線科専門医の応援を受けながら、ほぼ全てのCT・MR検査を放射線科医が読影し、結果をレポートにして主治医に返しています。マンモグラフィー検査も全例放射線科で読影を行っており、外科医との2重チェック体制となっています。残念ながら放射線科専門医により読影されていない検査が日本にはあふれています。
(当院では、このレポートの作成に dictation方式を採用し、音声で吹き込まれたレポートを、医療用語に精通した2人の transcriberと呼ばれる医療専門のtypistが computerに入力しており、病院規模に比し放射線科医の人数が少なくても多くの検査の処理が可能となっています。)
最新鋭フラットパネル型 血管造影装置(DSA:Philips integris Allura Xper FD20)を用いた、肝臓癌・動脈瘤などの血管塞栓術や下肢動脈狭窄・閉塞に対する血管拡張術・ステント留置術(創傷ケアセンター、皮膚科、心臓血管外科、人工臓器部と共同)、大動脈瘤に対するステントグラフト留置術(心臓血管外科と共同)、肺動脈塞栓症に対する血栓除去術や下大静脈filter留置、胆道閉塞に対する経皮的胆管ドレナージ術や胆管ステント瘤置術(消化器内科、外科などと共同)を行っています。また、CT・超音波機器を用いたイメージガイド下の組織生検(非血管系IR)なども行っています。最近では新しい治療法である子宮筋腫の子宮動脈塞栓術や椎体形成術も施行しています。当院での血管検査法の特徴は積極的に上肢からの検査(経橈骨/尺骨動脈法)を導入していることです。
血管造影法の標準的な検査方法として経大腿動脈法が広く行われています。血管確保が容易であること、多くの種類の用具が開発されていること、長年の経験に裏打ちされた安全性が得られているなどの長所があります。しかし、一方で術後の安静時間が長く腰痛のある患者さんでは苦痛を伴うことも多いものでした。当院では可能な限り上肢からの検査、すなわち橈骨・尺骨・上腕動脈などからの検査を標準とし、これらが行えない場合・特殊な器具が必要な場合にのみ大腿動脈検査としています。上腕動脈・橈骨動脈穿刺はすでに心臓領域の検査では当院を含め多くの施設でなされるようになっていますが、腹部等他領域への応用は遅れています。長所としては術後の安静が不要であることで、検査後の苦痛が激減します。一方で大腿動脈に比し細い血管を使用しますので血管穿刺が難しいこと、繰返す検査により血管に狭窄が起こる可能性があること、頭部領域血管に血栓等により塞栓を生じる可能性があることなどが欠点としてあげられます。当院では、1998年7月から基本的に経橈骨動脈法を標準的な検査法として開始しました。2002年からは橈骨動脈が使えない症例に対し経尺骨動脈法を開始しています。2005年末までに約700例の検査を行いましたが大きなトラブルは経験していません。塞栓術を含む腹部血管造影検査・治療の約80%を橈骨動脈から15%を上腕動脈から行いました。(これら検査手技に関して、ヨーロッパ放射線学会(ECR):2000,2002,2003,2004,2006、アメリカ心血管インターベンション学会 (SIR):2001,2003,2005,2007にて発表しました。)
当院でも2003年6月から最先端の子宮筋腫の治療法としての子宮動脈塞栓術を開始しました。2泊程度の短期入院で施行可能ですが、保険適応でないこと、治療法としての位置づけが安定していないことが問題点として存在しています。まだ、症例数は15例ほどと少ないですが、この分野でも積極的に経橈骨動脈法で行っています。
UAE前DSA
両側子宮動脈の著しい拡張が見られます。上肢からアプローチしているので視野内にカテーテルがありません。
UAE後DSA
塞栓術により子宮動脈末梢枝は描出されなくなりました。
UAE前MRI
子宮内に大小多数の筋腫核が存在しています。手術的治療では子宮全摘術しかありません。
UAE 1ヵ月後造影MRI
塞栓術により殆どの筋腫核が壊死し、造影効果がなくなっています。半年から1年をかけて吸収されます。
間欠性跛行や下肢の難治性皮膚潰瘍の原因として、腸骨から下肢にかけての動脈狭窄・閉塞が原因となることが知られています。特に動脈性の血行障害による難治性皮膚潰瘍(糖尿病性壊疽)では、これまではなかなかよい治療法がなかったため下肢切断になることもありました。当院では創傷ケアセンターとの連携で積極的に大腿動脈、下腿動脈の血管拡張術・ステント留置術を行っています。潰瘍の治癒、下肢切断の回避、切断範囲の縮小などの実績が上がっています。残念ながら保険適応とならないレーザー治療やアテレクトミーなどの海外で使用されている特殊な(高価な)治療器具は導入できていませんが、保険適応の範囲で施行可能な治療法を実践しています。
糖尿病性壊疽の患者さんではこのように著しい動脈硬化による末梢血流低下が皮膚壊疽を増悪させています。血管拡張術による血行再建が可能であれば潰瘍の治癒も期待できます。 足背動脈や足底動脈などの末梢まで到達可能なこともあります。



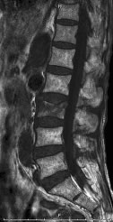
骨粗鬆症などによる椎体圧迫骨折にたいして、椎体内に骨セメントを経皮的に注入する治療法です。早期からの除痛が可能となることも多く、長期臥床をさけることが可能です。IVR-CTを用いているため、正確な穿刺が可能です。保険適応がないため全ての患者さんに行うわけにはいきませんが、当院では整形外科と相談しながら適応を絞り、施行しています。




医師の人数的な問題や診察室がないこともあり、予約検査のみで一般外来はありません。基本的には主治医(開業医様や当院の医師)を通しての紹介により診療(検査・治療)を行っています。紹介がなく画像診断のみを希望される方には当科の特殊性をお話した上で適宜対応させていただいております。低侵襲的治療の場合などには紹介医と相談の上、必要に応じて放射線科で入院していただく場合もあります。CT・MR検査は近隣の開業医様からの御紹介による検査が多く、特にMRでは6割程度が院外からの御紹介での検査となっています。かかりつけ医で "土谷総合病院放射線科での検査を希望します"といっていただければ当科に検査紹介していただけるものと思います。CT検査であれば2から3日中、MRI検査であれば1週間程度の待ち時間で検査が可能です(予約の具合によっては多少変動いたします)。撮影されたフィルムはレポートをつけて紹介医にお送りしています。
撮影されたフィルムはレポートをつけて紹介医にお送りしています。
MR検査予約専用電話(MR室直通):082-243-9192
CT検査予約専用電話(CT室直通):082-243-9215
放射線科直通 FAX(読影室直通):082-243-9216
| 2002年 | 2003年 | 2004年 | 2005年 | 2006年 | |
| CT | 4622 | 5555 | 5824 | 5884 | 5902 |
| MR | 3510 | 3683 | 3897 | 3484 | 3483 |
| 2002年 | 2003年 | 2004年 | 2005年 | 2006年 | |
| 血管造影・血管系IR | 153 | 162 | 162 | 199 | 155 |
| 肝動脈やその他の動脈の塞栓術 | 65 | 50 | 53 | 55 | 50 |
| 下大静脈フィルター留置 | 8 | 13 | 1 | 4 | 4 |
| 下肢などの血管拡張術(合計) | 7 | 34 | 42 | 100 | 84 |
| 腎・その他 | 2 | 7 | 2 | 4 | 6 |
| 腸骨動脈 | 3 | 24 | 12 | 18 | 21 |
| 大腿動脈 | 2 | 7 | 31 | 68(CTO20) | 63(CTO15) |
| 膝下の動脈 | 0 | 0 | 6 | 43 | 60 |
| リザーバー留置術(外科との共同) | 5 | 1 | 1 | 4 | 1 |
|
経皮的大動脈ステントグラフト留置術 (心臓血管外科との共同) |
1 | 1 | 0 | 1 | 0 |
| 膵炎の動注療法(消化器内科と共同) | 0 | 2 | 0 | 1 | 0 |
| UAE(産婦人科と共同) | 0 | 2 | 7 | 2 | 2 |
| 血管内異物除去 | 0 | 0 | 0 | 1 | 1 |
| 非血管系IR(PTCD、胆管ステントなど) | 35 | 32 | 28 | 19 | 26 |
| 椎体形成術 | 0 | 0 | 0 | 0 | 1 |